The Stanford Urology Clinic provides general urologic care for the local population and serves as a secondary and tertiary referral center for adult patients with a wide range of complex urologic problems. Our staff is committed to preserving patient dignity and providing the highest quality care and comfort.

List of MD’s

User Image

Geoffrey Sonn, Urologic Oncologist

User Image

James Brooks, Surgical Oncologist

User Image

Harcharan Gill, Urologic Oncologist

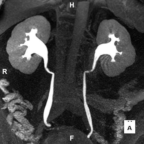
Our Urology Service utilizes MR Urogram with advanced 3D imaging technology to provide three-dimensional reconstructions of the urinary tract. By employing MRI, we are able to harness the power of T2-weighted imaging, which is particularly effective for the clear visualization of fluid-filled structures within the urinary system. This technique ensures that areas such as the bladder, ureters, and kidneys are depicted with high clarity, aiding in the comprehensive assessment of these critical structures.

To further enhance the diagnostic capability of our imaging, we may also include post-contrast sequences. These sequences delineate the urothelium, the layer of tissue lining the urinary tract, and for the detection of any lesions or abnormalities. This dual approach, combining T2-weighted and post-contrast imaging, may provide a thorough evaluation of the urinary tract's health, highlighting both the normal anatomical features and any potential issues that may require closer examination or intervention.

Through our Urology Service, we assist healthcare professionals by providing images that may support the diagnosis and management of urological conditions, facilitating targeted treatments and improved patient outcomes.

Urology

© 2023 3dapp. All Rights Reserved.